当您觉得肠胃不舒服到医院就诊时,通常医生会用胃肠镜来进行胃肠道的检查,不过在某种情况下也会需要做CT检查,因为CT对胃肠道疾病也是有帮助的。但您是否了解在做胃肠道CT检查时,都需要做好哪些准备吗?
为了让您的CT图像呈现高质量的画面,显示的更为清晰,从而协助医生给您的病情做诊断,并避免由于CT图片模糊导致重做的情况,我们特别咨询了门头沟区医院影像中心的专家就胃肠道CT检查,给您做详细的介绍和指导。
胃肠道CT 检查的主要作用是鉴别起源于胃肠道本身(壁内,外)的占位与外来压迫性肿块。CT可以凭借断面成像直接显示肿块的生长范围和侵犯范围,与临近器官的关系,有助于判断肿块的起源及性质。其次可以鉴别胃肠道良、恶性狭窄,通过胃肠壁形态的改变可以鉴别。CT还可以鉴别实质性肿块与血管性病变,根据强化特点可以区分实质性占位和血管。
胃肠道CT检查一般无特殊人群限制,为了更好的区分病变与胃肠道组织,需在检查前进行胃肠道充盈准备,其重点是要解决消化道管壁显影问题。
在腹部CT中,由于空腔脏器的容积效应,会有伪影的产生;因此,需口服适当的胃肠腔造影剂,避免伪影;或充盈胃肠道,避免肠管收缩, 形成良好的对比,使得扫描成像能更好地将胃与其它相邻脏器区别开来;且有助于区别肠腔与肾脏、子宫、膀胱等腹腔内器官。
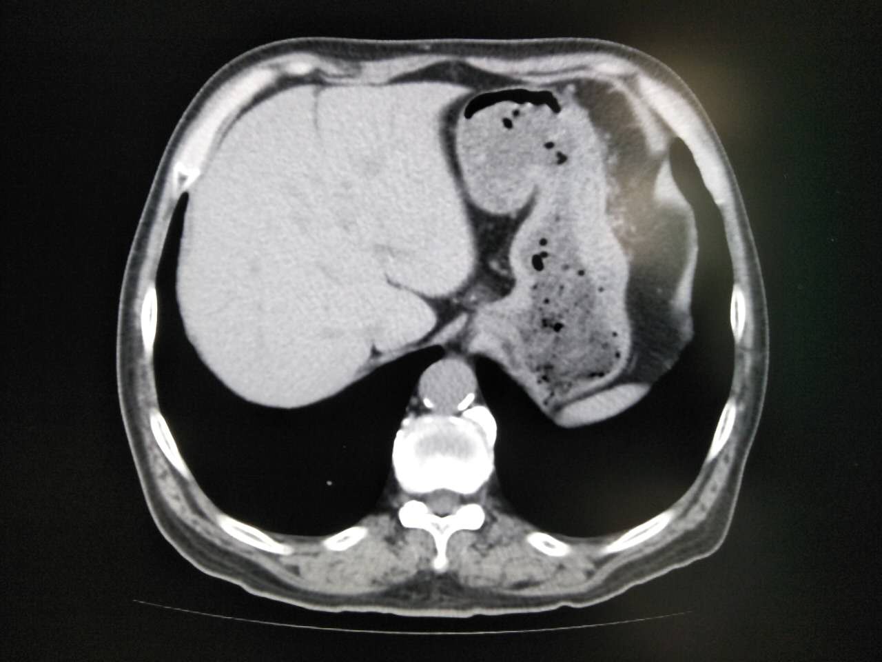
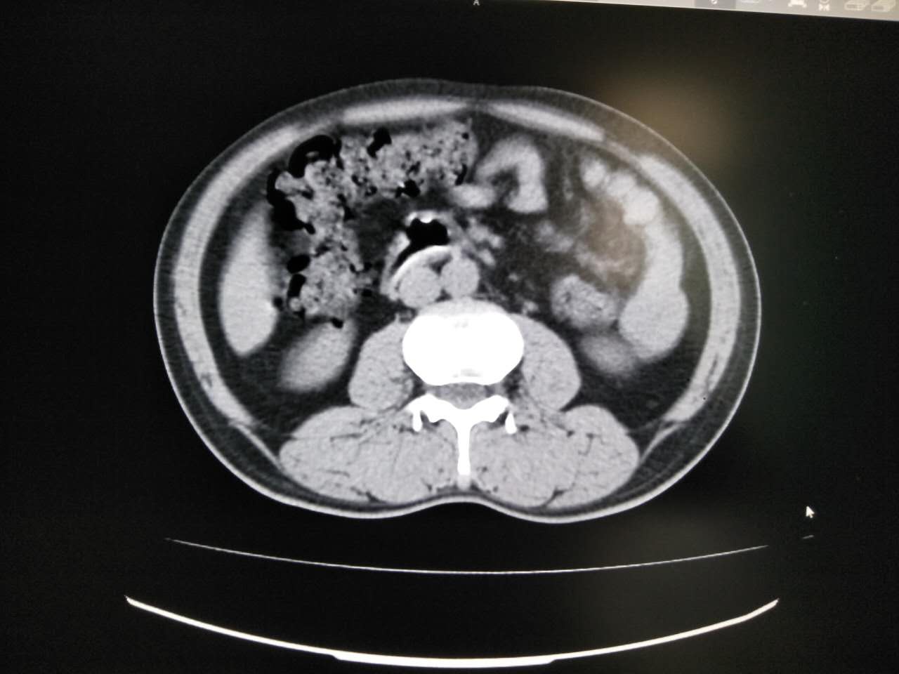
胃肠道CT 检查如要获得高质量的图像,肠道准备非常重要。如果小肠内有食物残渣, 就会影响肠腔的充盈与扩张,对于胃肠壁上较浅的病变难以显示。以下两例就是胃肠道未作准备,内容物较多,影响对比度,从而影响检查效果。


因此检查前尽量保证肠道的清洁度, 国外学者大多运用插管法小肠灌肠进行肠道准备。肠道清洁良好、肠腔充分扩张, 才能更好的观察肠腔内外及肠壁的情况。影像新技术小肠造影CT 就是使用大剂量对比剂充盈小肠肠腔,应用阳性或阴性肠内造影剂可不需要使用静脉内造影剂,中性肠内造影剂一般需要同时静脉注射造影剂增强扫描。
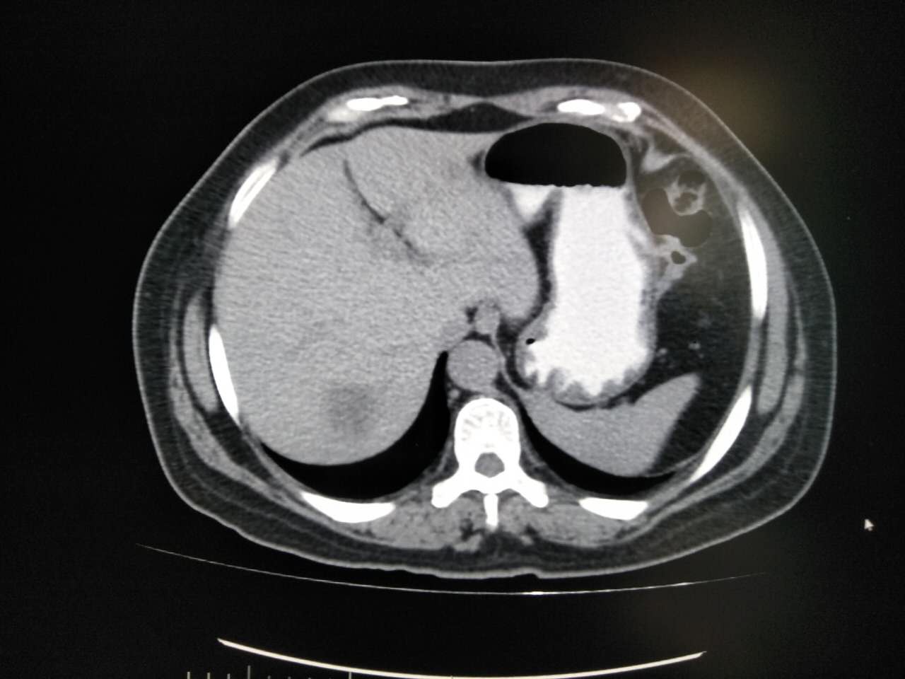
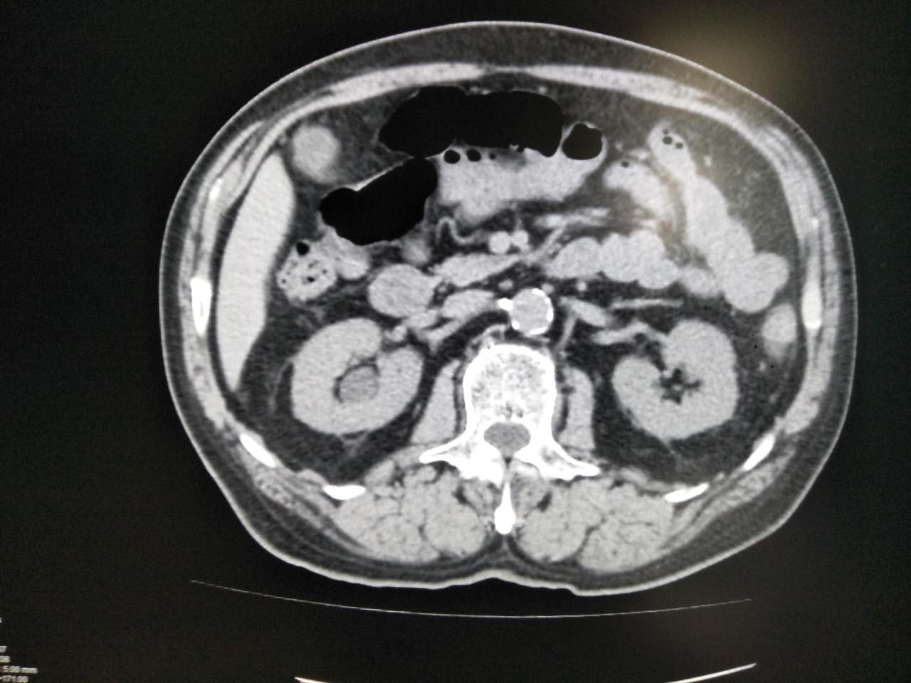
以下几例是胃肠道对比度较好的例子,可以清晰显示胃肠壁有无病变。


胃肠道CT 造影剂主要有三类:
高密度造影剂,又称阳性对比剂
主要是泛影葡胺、硫酸钡混悬液。目前常用的以泛影葡胺应用最多。
等密度造影剂,又称中性对比剂
以水的应用较为广泛。水流动性好,借助其重力作用在体位变动下可使观察的各部胃壁,利用水为小肠腔内造影剂显示小肠轮廓;但是,水不能降低胃肠道的蠕动,常常快速通过肠道,不能均匀填充整个胃肠腔,导致肠腔扩张较差,充盈不均,而且水与胃肠壁密度差小,所得图像产生的组织间对比差异较小,临床上可用于胃的检查,而小肠检查则不满意。
低密度造影剂,又称阴性对比剂
为植物油等脂类和气体,常用于小肠的CT 检查。
检查方法一般是平扫+增强检查:
所有的胃肠道检查都需要空腹。患者早晨不能进食,避免食物残渣的影响。检查前,患者需要服用适量的造影剂,以增强对比度。检查过程中,患者要配合技师,做呼吸、憋气动作,减少肠道蠕动形成的伪影,以求达到最佳效果。
胃肠道CT检查的流程:
1、患者根据自己的症状,先到消化内科就诊;
2、医生会根据患者的不同症状建议患者做不同的检查;
如果需要做CT检查,需要先由医生开CT检查单及做增强CT所需药物处方(若有特殊情况不适合做增强检查就不用增强药物,需要医生在检查单上注明);
3、患者缴费;
4、拿着CT检查单和药物处方来CT室预约;
5、按照预约时间做检查;
温馨提示:做检查时最好有一名家属陪同,以防有过敏反应发生。
最后再次提醒大家,做胃肠道CT检查一定要空腹!
区医院影像中心
门头沟区医院影像中心现有医技护人员24人,其中高级职称2人,中级职称9人,初级职称13人。近年来全科发表论文近10篇。承担多所大中专院校实习生的临床带教和基层卫生院医生的进修培训。
科室拥有GE1.5T核磁共振、东芝64排螺旋CT机、DR、飞利浦数字胃肠机、GE钼靶乳腺机及西门子移动数字床边机。以上设备检查范围广,图像清晰,可早期发现相关病变。